TooManyEyes: Super-recogniser directed identification of target individuals on CCTV1 July 2017·1 minSuper-Recognisers Face Recognition CCTV Face Matching Paper-ConferenceDate of Conference: 13-15 Dec. 2017 Conference Location: Madrid, Spain
SHREC'11 Track: Generic Shape Retrieval1 April 2012Computer Vision 3D Object Retrieval Descriptor Extraction Feature Selection Manifold Learning Rotation Estimation Paper-Conference
Investigating the Effects of Multiple Factors towards more Accurate 3D Object Retrieval1 April 2012Computer Vision 3D Object Retrieval Descriptor Extraction Feature Selection Manifold Learning Rotation Estimation Article-Journal
A Survey of Semantic Image and Video Annotation Tools1 May 2011Annotation Tool Image Annotation Semantic Annotation Video Annotation Descriptive Metadata Book-Chapter
3D Model Retrieval using Accurate Pose Estimation and View-based Similarity16 April 20113D Stereo Scene Analysis Computer Vision Pose Estimation Alignment 3D Object Retrieval Paper-Conference
Synchronous Image Acquisition based on Network Synchronization1 June 2006Cameras Synchronization Hardware Application Software Production Computer Aided Manufacturing Real Time Systems Computer Errors Light Emitting Diodes Computer Vision Paper-Conference
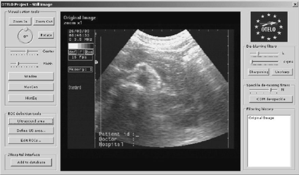
User Interface Environment and Image Communication in Mobile Tele-Echography1 January 2006Motion Vector Force Feedback Haptic Device Enhancement Layer Virtual Reality Environment Book-Chapter
Mobile Tele-echography: User Interface Design7 March 2005User Interfaces Ultrasonic Imaging Mobile Robots Medical Robotics Videoconference Biomedical Imaging Real Time Systems Haptic Interfaces Feedback Probes