
- George Litos/
- Publications/
- User Interface Environment and Image Communication in Mobile Tele-Echography/
User Interface Environment and Image Communication in Mobile Tele-Echography
Authors
E.Micheli-Tzanakou, G.A.Triantafyllidis, N.Thomos, G.Nikolakis, D.Tzovaras, George Litos, M.G.Strintzis
Published in
M-Health, Publisher: Springer US, Editors: Istepanian, Robert S. H. and Laxminarayan, Swamy and Pattichis, Constantinos S., pp.475-489
Abstract
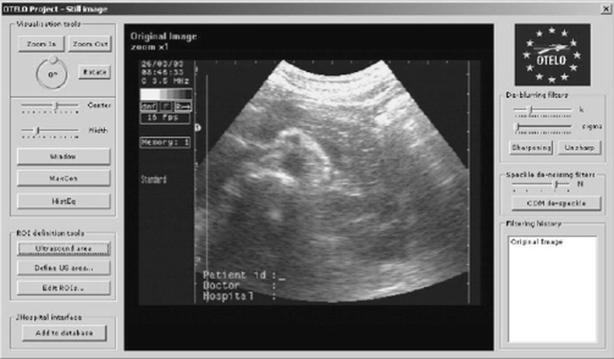
Mobile interconnectivity and telemedicine are important issues for achieving effectiveness in health care, since medical information can be transmitted faster and physicians can make diagnoses and treatment decisions faster. In this context, the OTELO project (OTELO, 2001) aims to develop a fully integrated end-to-end mobile tele-echography system using an ultra light, remote-controlled robot, for population groups that are not served locally by medical experts. An expert located in the expert center will do the echographic diagnosis. There will be only a "non-sonographer" person in the isolated site and the wireless transmission system will be the only link between the two sites. At the master station site, the clinical expert's role is to control and tele-operate the distant robot by holding a fictive probe.